MRI Breast: What It Shows, What It Costs, and Related Procedures
MRI Breast: What It Shows, What It Costs, and Related Procedures
A mri breast scan is one of the most sensitive tools available for evaluating breast tissue, particularly in women with dense breasts, high genetic risk, or prior abnormal findings on mammography. Understanding breast mri cost before you schedule helps you prepare financially and choose the right facility. The breast implant capsule is one structure that MRI is especially good at evaluating, as it can detect capsular contracture and rupture far better than ultrasound or physical exam alone. The breast biopsy cpt code associated with any follow-up procedure determines what your insurance is billed for and how your cost-sharing is calculated. And breast suspension, a cosmetic surgical concept, is sometimes referenced in breast imaging contexts but describes a different kind of procedure entirely, one that’s evaluated through clinical exam and surgical consultation rather than diagnostic imaging.
Understanding how breast MRI is used, what it costs, and what related billing and procedural terms mean helps you navigate the process more effectively from referral to results.
When a Breast MRI Is Ordered
Breast MRI is typically ordered for high-risk screening in women with BRCA1 or BRCA2 mutations, strong family history, or prior chest radiation. It’s also used as a staging tool when breast cancer is already diagnosed, to determine tumor size and check for additional sites of disease. MRI of the breast is frequently used to evaluate implant integrity when silicone rupture is suspected, as it’s more accurate than ultrasound for this specific application.
Not everyone with a breast concern needs MRI. Mammography remains the primary screening tool for the general population, with ultrasound as a supplement for dense breast tissue. Breast MRI is reserved for situations where the additional sensitivity and specificity of the modality changes clinical management, either by ruling out additional disease or guiding decisions about surgical approach. Your radiologist and ordering physician make this determination based on clinical context.
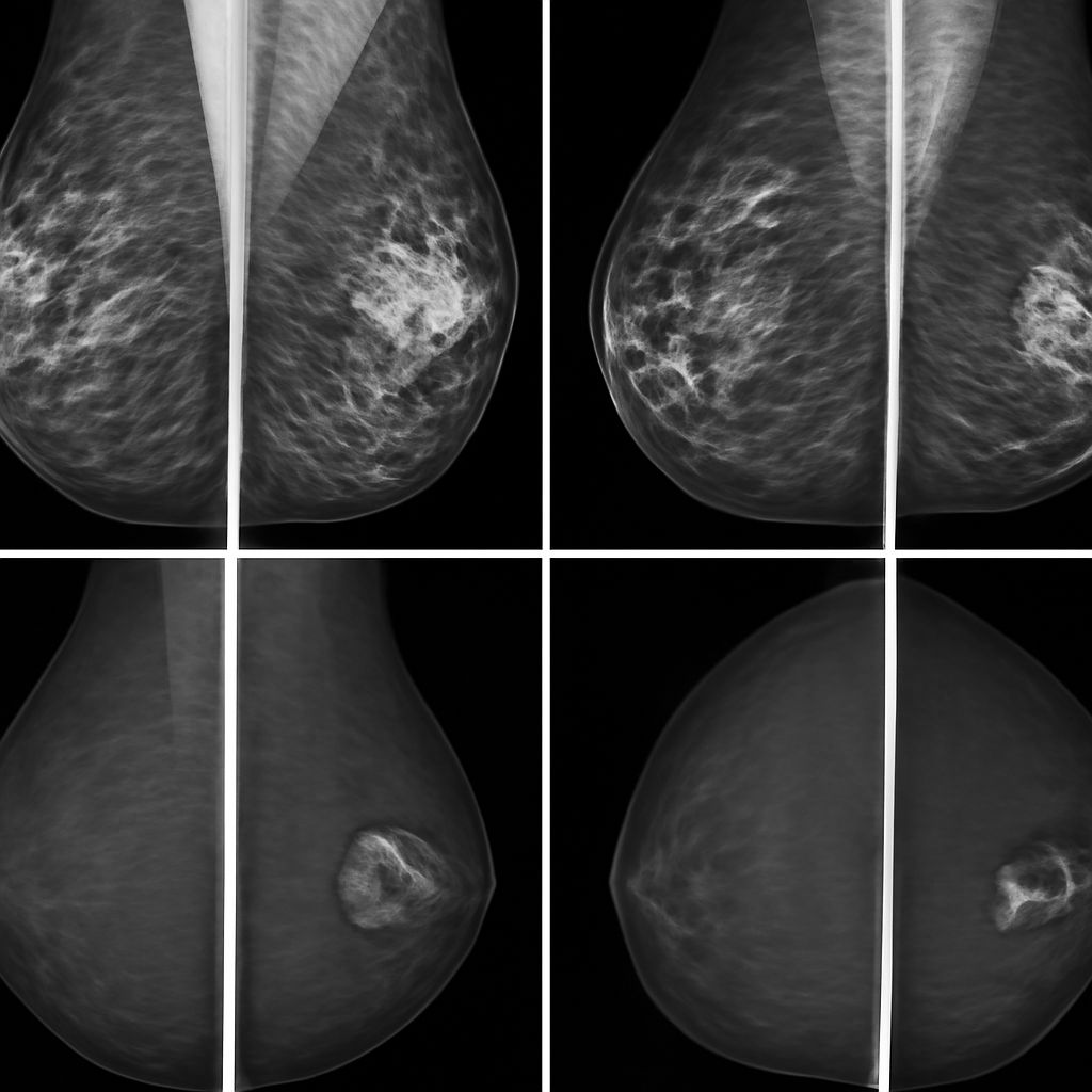
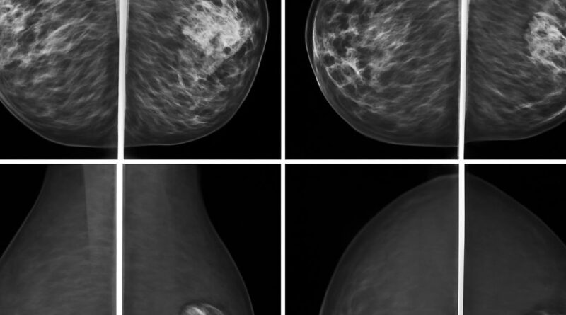
What Breast MRI Detects
An MRI of the breast uses contrast dye (gadolinium) to evaluate blood flow patterns in breast tissue. Cancer tends to enhance quickly due to its blood supply characteristics, which shows up distinctly on MRI sequences. The scan also evaluates lymph nodes in the axilla, chest wall involvement, and skin changes. For implant evaluation, specific sequences without contrast detect silicone outside the implant shell, which indicates rupture.
Breast MRI Cost: What to Expect
Breast MRI is among the more expensive imaging studies. At hospital outpatient facilities, the cost without insurance ranges from $1,500 to $4,000 depending on whether contrast is used, how many sequences are acquired, and the billing structure of the facility. At freestanding MRI centers, the same study often runs $500–$1,200 for self-pay patients who ask for the cash rate upfront.
With insurance, your cost depends heavily on whether the study is considered screening (preventive) or diagnostic (subject to deductible and coinsurance). High-risk screening breast MRI is covered annually by most plans under ACA preventive care requirements for women with documented elevated risk. Diagnostic breast MRI, ordered because of a specific finding, typically applies standard cost-sharing. Confirming which category your order falls into before the appointment prevents billing surprises.
Breast Biopsy CPT Code and Follow-Up Billing
If your breast MRI shows a finding that requires tissue sampling, you’ll likely be scheduled for an MRI-guided breast biopsy. The breast biopsy CPT code used for MRI-guided core needle biopsy is different from ultrasound-guided or stereotactic procedures, and the billing reflects the higher complexity and longer procedure time of MRI guidance. Your facility should be able to tell you the expected CPT code and what cost-sharing applies before you schedule the biopsy.
Next Steps
If your doctor ordered a breast MRI, call your insurance plan to confirm whether it’s categorized as preventive or diagnostic and what your specific cost-sharing will be. Ask the imaging facility for the self-pay rate even if you have insurance, as comparing the two sometimes reveals an opportunity to negotiate. For implant evaluation specifically, confirm that the facility has the appropriate MRI protocol for silicone implant assessment, as not all centers routinely perform these sequences unless requested.
